PathoPic – image database / PathoPic ID 4786 - aneurysmatische Knochenzyste (AKZ)

de
Diagnose
aneurysmatische Knochenzyste (AKZ)
Diagnose Gruppe
organspezifische Erkrankung
Topographie
Knochen, Fibula
Topographie Gruppe
Knochen, Knorpel, Gelenke
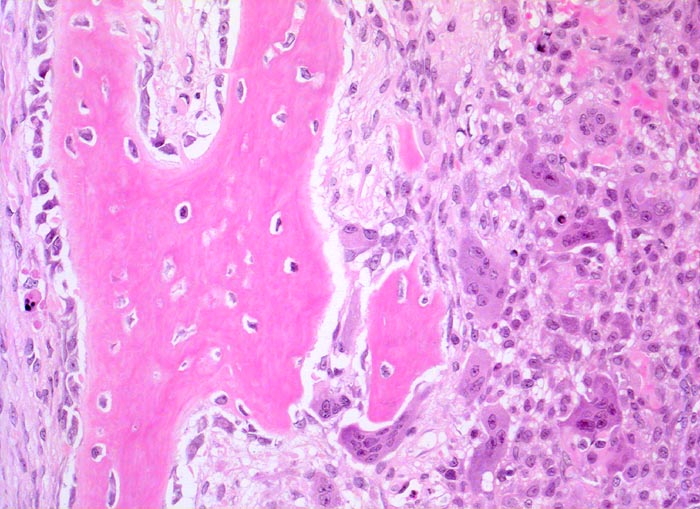
Beschreibung
Neugebildeter Faserknochen mit Osteoblasttapete. Daneben dichtliegende mononukleäre Zellen und mehrkernige Riesenzellen. Streifenförmige besenreiserartige Matrixbildung.
Klinik
Lokalisierte Schmerzen und Schwellung in der proximalen Fibula. Im Röntgenbild ist eine Osteolyse erkennbar, die die betroffene Fibula auftreibt. Die Cortikalis über der Osteolyse ist hauchdünn.
Bilder Typ
Histologie
Vergrösserung
200
Alter
16
Geschlecht
unbekannt
Datum
Ersteintrag: 08.05.2002
Update: 25.07.2008