PathoPic – image database / PathoPic ID 4783 - aseptische Femurkopfnekrose

de
Diagnose
aseptische Femurkopfnekrose
Diagnose Gruppe
vaskulär / Durchblutungsstörung
Topographie
Knochen, Femurkopf
Topographie Gruppe
Knochen, Knorpel, Gelenke
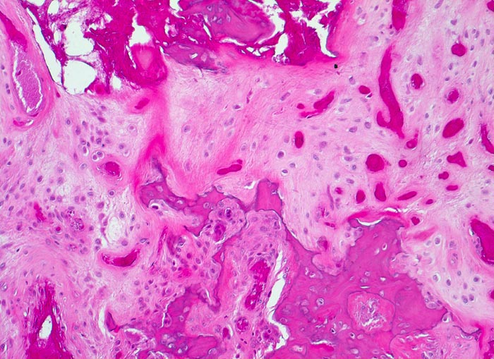
Beschreibung
Nekrosezone: kleine avitale Knochenfragmente liegen eingebettet in neugebildete fasrige extrazelluläre Matrix. Der ortsständige Knochen wird von Osteoklasten abgeräumt.
Klinik
Der Patient ist Gastwirt von Beruf und klagt über rasch zunehmende Schmerzen im rechten Hüftgelenk, die auch nachts auftreten. Aufgrund der invalidisierenden Schmerzen wird eine Endoprothese eingesetzt.
Bilder Typ
Histologie
Vergrösserung
100
Alter
41
Geschlecht
männlich
Datum
Ersteintrag: 08.05.2002