PathoPic – image database / PathoPic ID 4771 - Coxarthrose: Geröllzyste

de
Diagnose
Coxarthrose: Geröllzyste
Diagnose Gruppe
Trauma / mechanischer Schaden
Topographie
Knochen, Femurkopf
Topographie Gruppe
Knochen, Knorpel, Gelenke
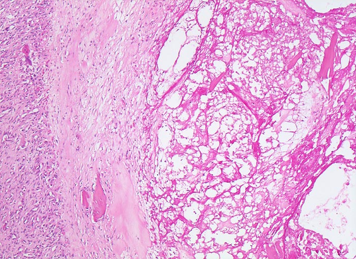
Beschreibung
Randbereich einer Geröllzyste. Im Zentrum der Zyste nekrotischer Detritus mit avitalen Knochenfragmenten. Die Geröllzyste wird umgeben von einem Saum Narbengewebe und daran anschliessend gefässreichem Granulationsgewebe.
Klinik
74-jährige leicht adipöse Patientin mit Anlaufschmerz, belastungsabhängigem Schmerz und zunehmender Versteifung im Hüftgelenk. Im Röntgenbild des Hüftgelenks zeigen sich eine Gelenkspaltverschmälerung, subchondrale Osteolysen, Usuren und randständige Osteophyten.
Bilder Typ
Histologie
Vergrösserung
50
Alter
74
Geschlecht
unbekannt
Datum
Ersteintrag: 06.10.2002
Update: 25.01.2007