PathoPic – image database / PathoPic ID 4768 - grobtropfige Verfettung und hepatocanaliculäre Cholestase

de
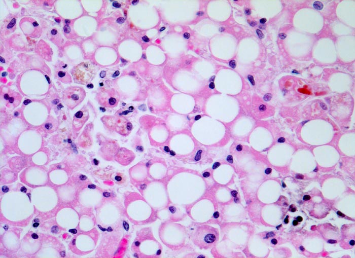
Diagnose
grobtropfige Verfettung und hepatocanaliculäre Cholestase
Diagnose Gruppe
Therapiefolgen
Topographie
Leber
Topographie Gruppe
Leber, Gallenwege, Pankreas
Beschreibung
Überwiegend grobtropfig verfettete Hepatozyten. Im Zytoplasma einzelner Hepatozyten und in einem Canaliculus ist gelbes Gallepigment nachweisbar.
Klinik
Seit Jahren bekannter Alkoholabusus mit bis vor kurzem kompensierter Leberzirrhose. Seit einer Woche Sepsis mit unklarem Fokus und zunehmende Aszitesbildung. Der Patient verstirbt an den Folgen der Sepsis trotz antibiotischer Therapie.
Kommentar
Die hepatocanaliculäre Cholestase ist völlig unspezifisch. Sie kann wie im vorliegenden Fall bei einer Sepsis oder beispielsweise als Arzneimittelnebenwirkung auftreten. Intrazytoplasmatische Galle ist manchmal kaum von Lipofuszin oder Hämosiderin unterscheidbar. Die in den Gallecanaliculi zwischen zwei Hepatozyten gelegene Galle ist jedoch aufgrund ihrer Lage einfach als Cholestase identifizierbar.
Bilder Typ
Histologie
Vergrösserung
320
Alter
57
Geschlecht
männlich
Datum
Ersteintrag: 06.10.2002