PathoPic – image database / PathoPic ID 4767 - unvollständiger zirrhotischer Umbau, Steatose

de
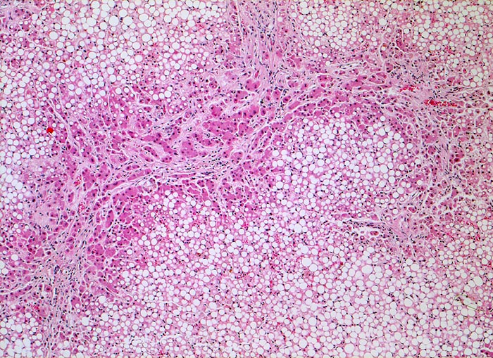
Diagnose
unvollständiger zirrhotischer Umbau, Steatose
Diagnose Gruppe
Therapiefolgen
Topographie
Leber
Topographie Gruppe
Leber, Gallenwege, Pankreas
Beschreibung
Bindgewebebige Septen durchziehen das grobtropfig verfettete Parenchym und bilden einen unvollständigen Knoten.
Klinik
Seit Jahren bekannter Alkoholabusus mit bis vor kurzem kompensierter Leberzirrhose. Seit einer Woche Sepsis mit unklarem Fokus und zunehmende Aszitesbildung. Der Patient verstirbt an den Folgen der Sepsis trotz antibiotischer Therapie.
Kommentar
Für die Diagnose einer Leberzirrhose wird ein diffuser knotiger Umbau der gesamten Leber gefordert. Die Grenzen zwischen unvollständigem und vollständigem zirrhotischem Umbau sind fliessend.
Bilder Typ
Histologie
Vergrösserung
50
Alter
57
Geschlecht
männlich
Datum
Ersteintrag: 08.05.2002