PathoPic – image database / PathoPic ID 4762 - alkoholische Leberzirrhose, Steatose, septische Cholestase

de
Diagnose
alkoholische Leberzirrhose, Steatose, septische Cholestase
Diagnose Gruppe
Therapiefolgen
Topographie
Leber
Topographie Gruppe
Leber, Gallenwege, Pankreas
Beschreibung
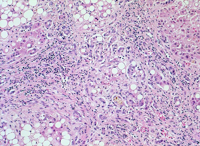
Breite fibröse Bindegewebssepten mit lockerem gemischtem Entzündungsinfiltrat und Ductulusproliferation. Ein Ductulus ist dilatiert und enthält einen Gallepfropf. Die Hepatozyten enthalten grosse Fettvakuolen (grobtropfige Verfettung).
Klinik
Seit Jahren bekannter Alkoholabusus mit bis vor kurzem kompensierter Leberzirrhose. Seit einer Woche Sepsis mit unklarem Fokus und zunehmende Aszitesbildung. Der Patient verstirbt an den Folgen der Sepsis trotz antibiotischer Therapie.
Kommentar
Eine Cholestase bei Sepsis, Hämolyse oder Schock involviert typischerweise die Ductuli und die Hering Kanäle in der Peripherie der Portalfelder. Die betroffenen Ductuli sind dilatiert und enthalten einen Gallepfropf. Zusätzlich besteht oft eine Cholestase in der Läppchenperipherie.
Bilder Typ
Histologie
Vergrösserung
100
Alter
57
Geschlecht
männlich
Datum
Ersteintrag: 06.10.2002