Pathopic
HiPaKu
ZyPaKu
PathoBasic
PathoBasic Cytology
Quizzes
Projektinfos
PathoPic - Projekt- und Copyright-Info
About
Pathopic
HiPaKu
ZyPaKu
PathoBasic
PathoBasic Cytology
Quizzes
PathoPic – image database
/
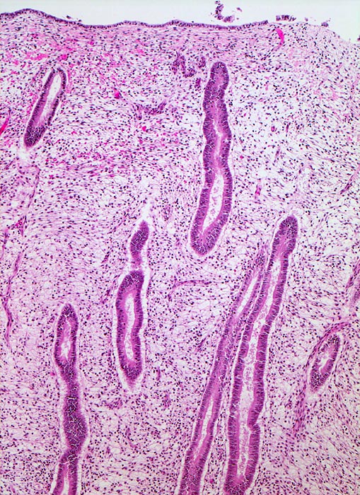
PathoPic ID 4747 - Mittlere Proliferationsphase
de
Diagnose
Mittlere Proliferationsphase
Diagnose Gruppe
Normalbefund
Topographie
Endometrium
Topographie Gruppe
Genitalorgane, weiblich
Beschreibung
Langgestreckte leicht geschlängelte Drüsen mit hochprismatischem Epithel. Ödematöses Stroma mit länglichen kapillären Gefässen.
Klinik
Uterus myomatosus
Bilder Typ
Histologie
Vergrösserung
50
Alter
44
Geschlecht
unbekannt
Datum
Ersteintrag: 06.05.2002
Update: 10.08.2010
CPS
·
©
2024 Institut für Pathologie Basel
/
Dr. med. Katharina Glatz-Krieger
.
·
v2.1