PathoPic – image database / PathoPic ID 4719 - kleinzelliges Bronchuskarzinom: Quetschartefakt

de
Diagnose
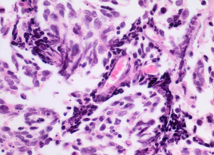
kleinzelliges Bronchuskarzinom: Quetschartefakt
Diagnose Gruppe
maligner Tumor
Topographie
Lunge
Topographie Gruppe
Lunge, Mediastinum mit Thymus
Beschreibung
Stränge von gequetschten Tumorzellen mit langgezogenen verdichteten Kernen.
Klinik
Inoperables metastasierendes Bronchuskarzinom. Nikotinabusus 70 Packyears.
Kommentar
Die Zellen des kleinzelligen Karzinoms sind sehr druckempfindlich und zeigen deshalb häufig ausgedehnte Quetschartefakte. Dies kann die Differentialdiagnose zu einem Lymphom oder zu einem reaktiven entzündlichen Infiltrat erschweren. Biopsiertes Gewebe sollte deshalb möglichst wenig traumatisiert werden.
Bilder Typ
Histologie
Vergrösserung
500
Alter
55
Geschlecht
männlich
Datum
Ersteintrag: 06.05.2002