Pathopic
HiPaKu
ZyPaKu
PathoBasic
PathoBasic Cytology
Quizzes
Projektinfos
PathoPic - Projekt- und Copyright-Info
About
Pathopic
HiPaKu
ZyPaKu
PathoBasic
PathoBasic Cytology
Quizzes
PathoPic – image database
/
PathoPic ID 4717 - kleinzelliges Bronchuskarzinom
de
Diagnose
kleinzelliges Bronchuskarzinom
Diagnose Gruppe
maligner Tumor
Topographie
Lunge
Topographie Gruppe
Lunge, Mediastinum mit Thymus
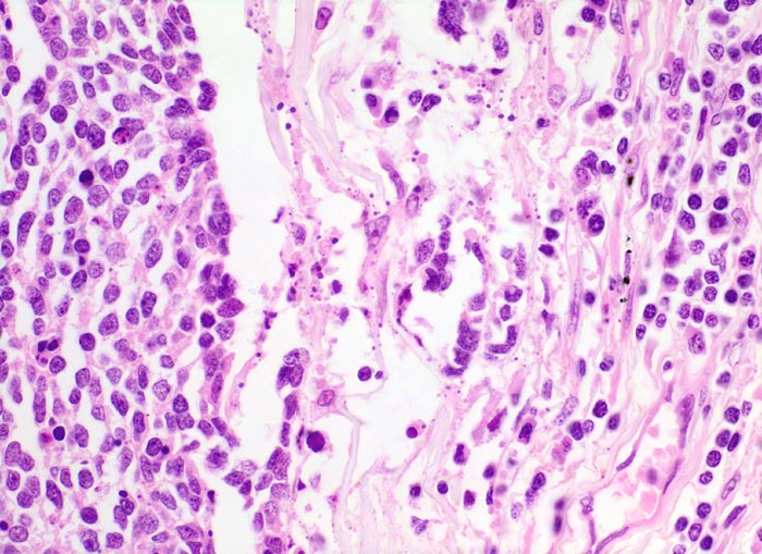
Beschreibung
Links im Bild die
Tumorzellen des kleinzelligen Karzinoms. Die Kerne der Tumorzellen sind etwa dreimal so gross wie die der
Lymphozyten rechts im Bild .
Klinik
Inoperables metastasierendes Bronchuskarzinom. Nikotinabusus 70 Packyears.
Bilder Typ
Histologie
Vergrösserung
400
Alter
55
Geschlecht
männlich
Datum
Ersteintrag: 06.05.2002
CPS
·
©
2024 Institut für Pathologie Basel
/
Dr. med. Katharina Glatz-Krieger
.
·
v2.1