PathoPic – image database / PathoPic ID 4711 - Plattenepithelmetaplasie der Bronchialschleimhaut

de
Diagnose
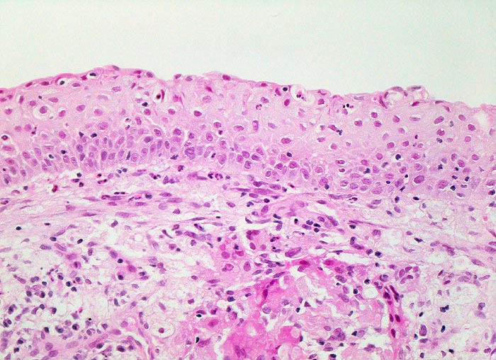
Plattenepithelmetaplasie der Bronchialschleimhaut
Diagnose Gruppe
Metaplasie / Heterotopie
Topographie
Lunge
Topographie Gruppe
Lunge, Mediastinum mit Thymus
Beschreibung
Nicht verhornende plattenepithelial differenzierte Schleimhaut. Zytoplasmareiche Epithelzellen ohne Atypien mit scharfen Zellgrenzen. An der Oberfläche fehlen Flimmerhaare. Basalzellschicht mit etwas weniger Zytoplasma. Lockeres granulozytäres Entzündungsinfiltrat im Epithel und im subepithelialen Stroma.
Klinik
Transbronchiale Biopsie zur Abklärung eines Rundherdes.
Kommentar
Die Plattenepithelmetaplasie ist Ausdruck einer Anpasssung auf chronische mechanische (z.B. Reibe- und Druckpunkte von Trachealkanülen) bzw. chemische (Zigarettenrauch) Irritation. Häufig findet sich eine Plattenepithelmetaplasien ev. mit Dysplasie in der Umgebung eines invasiven Karzinoms.
Bilder Typ
Histologie
Vergrösserung
200
Alter
61
Geschlecht
männlich
Datum
Ersteintrag: 06.05.2002