PathoPic – image database / PathoPic ID 4692 - Diffuser Alveolarschaden: proliferative Phase

de
Diagnose
Diffuser Alveolarschaden: proliferative Phase
Diagnose Gruppe
organspezifische Erkrankung
Topographie
Lunge
Topographie Gruppe
Lunge, Mediastinum mit Thymus
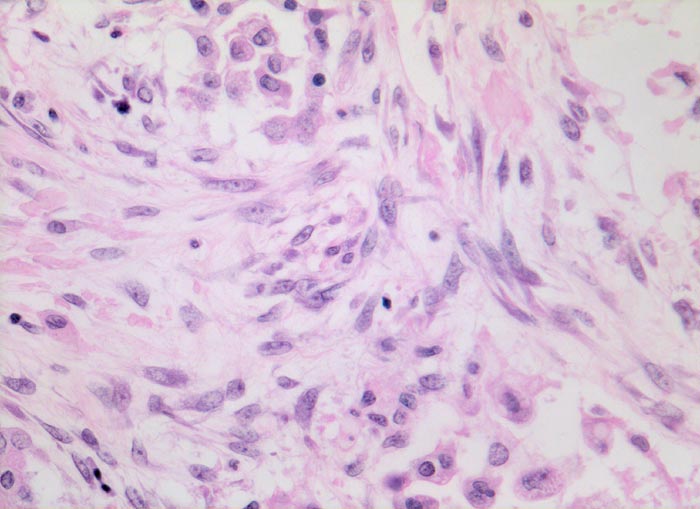
Beschreibung
Organisation der hyalinen Membranen durch Makrophagen, und Fibroblasten. In der durch Fibroblastenproliferate stark verbreiterten Alveolarwand sind noch Reste der hyalinen Membranen erkennbar. Typ II Pneumozyten kleiden die angrenzenden Alveolen aus.
Zusatzbefund
Makroskopischer Lungenbefund: schwere, wässrige und verfestigte dunkelrote Lungen aus denen sich nur wenig Flüssigkeit auspressen lässt.
Klinik
Hospitalisation wegen akuter nekrotisierender Pankreatitis. Am zweiten Hospitalisationstag entwickelt der Patient ein ARDS (Adult Respiratory Distress Syndrome) mit rasch progredienter Dyspnoe und Tachypnoe, sowie einer Hypoxämie, welche im Verlauf auf Sauerstoffgabe nicht mehr anspricht. Das Thoraxröntgenbild zeigt bilaterale diffuse Verschattungen. Der Patient verstirbt trotz Intensivmassnahmen am 9. Tag nach Spitaleintritt am Multiorganversagen.
Bilder Typ
Histologie
Vergrösserung
320
Alter
47
Geschlecht
männlich
Datum
Ersteintrag: 05.05.2002
Update: 27.04.2009