PathoPic – image database / PathoPic ID 4687 - Embryonales Karzinom: testikuläre intraepitheliale Neoplasie

de
Diagnose
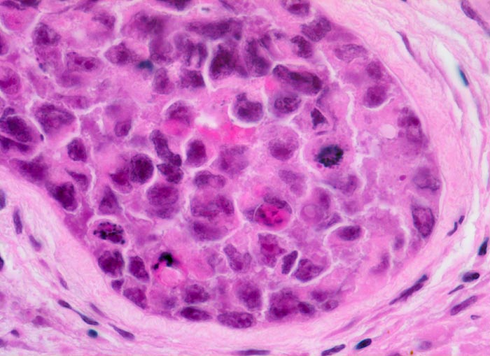
Embryonales Karzinom: testikuläre intraepitheliale Neoplasie
Diagnose Gruppe
maligner Tumor
Topographie
Hoden
Topographie Gruppe
Genitalorgane, männlich
Beschreibung
Tumorzellen mit gleicher Differenzierung wie das invasive Karzinom wachsen innerhalb der tubulären Basalmembran. Ausgeprägte Zellpolymorphie, Mitose und Apoptosen.
Zusatzbefund
Makroskopisch aus mehreren unscharf begrenzten, bunten, teils hämorrhagischen Knoten bestehender Tumor von 3cm Durchmesser.
Klinik
Schmerzlose Hodenvergrösserung.
Kommentar
Das Vorliegen von Spaltartefakten zwischen Tumorzellen und tubulärer Basalmembran bei einer testikulären intratubulären Neoplasie kann fälschlicherweise den Eindruck einer Gefässinvasion erwecken. Eine Gefässinvasion kann nur dann diagnostiziert werden, wenn die tubuläre Struktur eindeutig von Endothelzellen ausgekleidet wird.
Bilder Typ
Histologie
Vergrösserung
630
Alter
34
Geschlecht
männlich
Datum
Ersteintrag: 06.05.2002
Update: 30.07.2010