PathoPic – image database / PathoPic ID 4684 - Embryonales Karzinom des Hodens

de
Diagnose
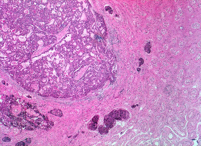
Embryonales Karzinom des Hodens
Diagnose Gruppe
maligner Tumor
Topographie
Hoden
Topographie Gruppe
Genitalorgane, männlich
Beschreibung
Das Karzinom wächst teils expansiv, teils infiltrativ. Es sind mehrere Gefässeinbrüche nachweisbar. In den Hodentubuli hat es atypische vergrösserte Keimzellen entsprechend einer testikulären intraepithelialen Neoplasie. Die in situ Komponente zeigt teilweise dieselbe Differenzierung wie das embryonale Karzinom und weitet die Tubuli aus.
Zusatzbefund
Makroskopisch aus mehreren unscharf begrenzten, bunten, teils hämorrhagischen Knoten bestehender Tumor von 3cm Durchmesser.
Klinik
Schmerzlose Hodenvergrösserung.
Kommentar
Das Vorliegen von Spaltartefakten zwischen Tumorzellen und tubulärer Basalmembran bei einer testikulären intratubulären Neoplasie kann fälschlicherweise den Eindruck einer Gefässinvasion erwecken. Eine Gefässinvasion kann nur dann diagnostiziert werden, wenn die tubuläre Struktur eindeutig von Endothelzellen ausgekleidet wird.
Bilder Typ
Histologie
Vergrösserung
25
Alter
34
Geschlecht
männlich
Datum
Ersteintrag: 06.10.2002
Update: 30.07.2010