PathoPic – image database / PathoPic ID 4683 - Embryonales Karzinom des Hodens: Gefässeinbruch

de
Diagnose
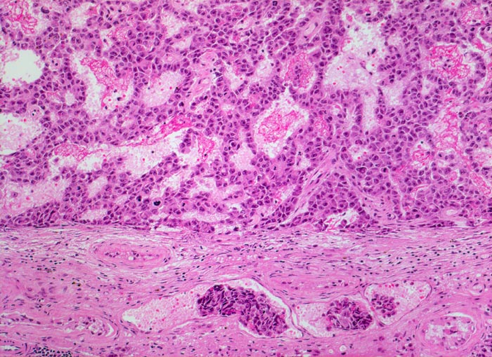
Embryonales Karzinom des Hodens: Gefässeinbruch
Diagnose Gruppe
maligner Tumor
Topographie
Hoden
Topographie Gruppe
Genitalorgane, männlich
Beschreibung
Polymorphe Tumorzellen bilden miteinander anastomosierende Stränge. Nachweis von Tumorzellgruppen in dünnwandigen Gefässen.
Zusatzbefund
Makroskopisch aus mehreren unscharf begrenzten, bunten, teils hämorrhagischen Knoten bestehender Tumor von 3cm Durchmesser.
Klinik
Schmerzlose Hodenvergrösserung.
Kommentar
Die Blutgefässinvasion hat bei Hodentumoren einen Einfluss auf das TNM Stadium und somit auf die Prognose. Embryonale Karzinome zeigen häufiger eine Gefässinvasion als Seminome.
Bilder Typ
Histologie
Vergrösserung
100
Alter
34
Geschlecht
männlich
Datum
Ersteintrag: 06.05.2002
Update: 30.07.2010