Pathopic
HiPaKu
ZyPaKu
PathoBasic
PathoBasic Cytology
Quizzes
Projektinfos
PathoPic - Projekt- und Copyright-Info
About
Pathopic
HiPaKu
ZyPaKu
PathoBasic
PathoBasic Cytology
Quizzes
PathoPic – image database
/
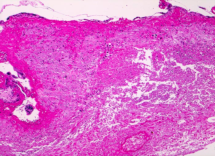
PathoPic ID 4676 - Abortkurettage: nekrotisches Deziudafragment
de
Diagnose
Abortkurettage: nekrotisches Deziudafragment
Diagnose Gruppe
angeboren /genetisch/Missbildung
Topographie
Abortmaterial
Topographie Gruppe
Paidopathologie
Beschreibung
Nach längerer Retention zeigt die Dezidua eine ausgedehnte
granulozytär demarkierte Nekrose.
Synzytiotrophoblastäre Riesenzellen.
Klinik
Missed abortion in der 11. Schwangerschaftswoche, sonographisch entsprechend der 9. Schwangerschaftswoche.
Kommentar
Ausgedehnte Nekrosen der Dezidua geben einen Hinweis auf ein länger zurückliegendes Abortgeschehen.
Bilder Typ
Histologie
Vergrösserung
50
Alter
33
Geschlecht
unbekannt
Datum
Ersteintrag: 06.10.2002
CPS
·
©
2024 Institut für Pathologie Basel
/
Dr. med. Katharina Glatz-Krieger
.
·
v2.1