PathoPic – image database / PathoPic ID 4673 - Abortkurettage: Retentionszeichen

de
Diagnose
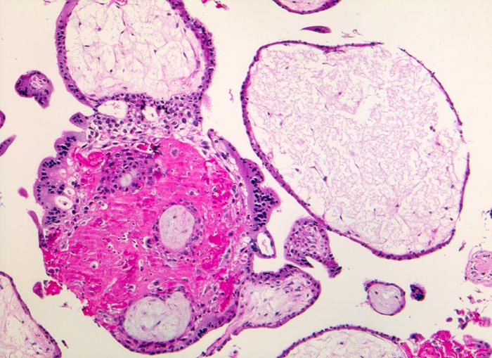
Abortkurettage: Retentionszeichen
Diagnose Gruppe
angeboren /genetisch/Missbildung
Topographie
Abortmaterial
Topographie Gruppe
Paidopathologie
Beschreibung
Regressiv veränderte Plazentarzotten mit hydropisch geschwollenem und degeneriertem Stroma. Fibrinablagerungen zwischen den Zotten.
Klinik
Missed abortion in der 11. Schwangerschaftswoche, sonographisch entsprechend der 9. Schwangerschaftswoche.
Kommentar
Oftmals wird ein Frühabort nicht sofort bemerkt. Je nach Zeitdauer, die zwischen Absterben der Frucht und Kurettage verstreicht, finden sich unterschiedlich ausgeprägte Retentionszeichen im Abortmaterial. Die degenerativen Veränderungen können die Interpretation der morphologischen Befunde am chorialen Gewebe erschweren, zumal abortverursachende Zirkulationsstörungen ähnlich aussehen können.
Bilder Typ
Histologie
Vergrösserung
100
Alter
33
Geschlecht
unbekannt
Datum
Ersteintrag: 20.07.2002