PathoPic – image database / PathoPic ID 4669 - Chronisch-sklerosierende Pankreatitis

de
Diagnose
Chronisch-sklerosierende Pankreatitis
Diagnose Gruppe
Therapiefolgen
Topographie
Pankreas
Topographie Gruppe
Leber, Gallenwege, Pankreas
Beschreibung
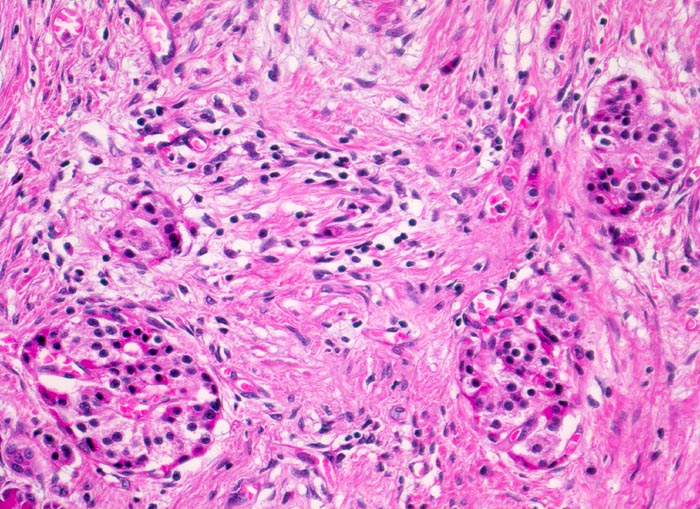
Während die Azini das exokrine Pankreasparenchym zunehmend fibrosieren und schliesslich ganz verschwinden, bleibt das endokrine Pankreas relativ gut erhalten. Nach Verschwinden der Azini sind im fibrosierten Gewebe Pankreasinseln zurückgeblieben. Geringgradiges lymphoplasmazelluläres Entzündungsinfiltrat.
Klinik
Alkoholiker mit rezidivierten akuten Pankreatitisschüben. Chronische Diarrhoe.
Kommentar
Durch das Verschwinden des exokrinen Pankreas rücken die Inseln näher zueinander und erscheinen zahlreicher als normal. Dies führt zum fälschlichen Eindruck einer Hyperplasie der Pankreasinseln.
Bilder Typ
Histologie
Vergrösserung
200
Alter
49
Geschlecht
männlich
Datum
Ersteintrag: 06.05.2002