PathoPic – image database / PathoPic ID 4668 - Chronisch-sklerosierende Pankreatitis mit älterer Nekrose

de
Diagnose
Chronisch-sklerosierende Pankreatitis mit älterer Nekrose
Diagnose Gruppe
Therapiefolgen
Topographie
Pankreas
Topographie Gruppe
Leber, Gallenwege, Pankreas
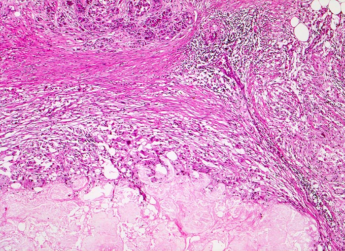
Beschreibung
Anschnitt eines fibrosierten Läppchens. Daran angrenzend eine breite Sklerosezone mit lockerem chronischem Entzündungsinfiltrat. Unten im Bild eine alte, lytische Gewebsnekrose als Überbleibsel eines akuten Pankreatitisschubes.
Klinik
Alkoholiker mit rezidivierten akuten Pankreatitisschüben. Chronische Diarrhoe.
Kommentar
Die chronische Pankreatitis bei Alkoholikern verläuft meist schubweise.
Bilder Typ
Histologie
Vergrösserung
50
Alter
49
Geschlecht
männlich
Datum
Ersteintrag: 06.05.2002