PathoPic – image database / PathoPic ID 4667 - Chronisch-sklerosierende Pankreatitis

de
Diagnose
Chronisch-sklerosierende Pankreatitis
Diagnose Gruppe
Therapiefolgen
Topographie
Pankreas
Topographie Gruppe
Leber, Gallenwege, Pankreas
Beschreibung
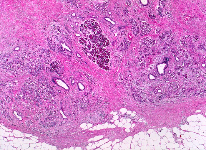
In der Übersicht ist die lobuläre Architektur des Pankreas erkennbar. Azini gruppieren sich um intralobuläre Gänge. Das Pankreasparenchym ist aufgesplittert durch eine dissoziierende Fibrose zwischen und innerhalb der Lobuli. Die Entzündung ist minimal ausgeprägt. Die Veränderungen sind herdförmig unterschiedlich schwer. Ein Lobulus scheint weitgehend unbehelligt. Zusammensinterung und Proliferation der inter- und intralobulären Duktuli.
Klinik
Alkoholiker mit rezidivierten akuten Pankreatitisschüben. Chronische Diarrhoe.
Bilder Typ
Histologie
Vergrösserung
25
Alter
49
Geschlecht
männlich
Datum
Ersteintrag: 06.05.2002