PathoPic – image database / PathoPic ID 4664 - wenig differenziertes invasives duktales Mammakarzinom

de
Diagnose
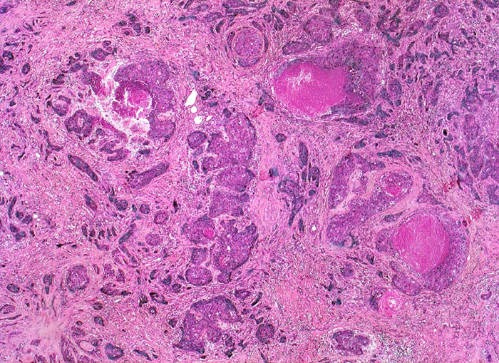
wenig differenziertes invasives duktales Mammakarzinom
Diagnose Gruppe
maligner Tumor
Topographie
Mamma
Topographie Gruppe
Mamma
Beschreibung
Das Karzinom bildet keine drüsigen Strukturen, sondern ausschliesslich solide Zellstränge mit infiltrativem Wachstum in desmoplastischem Stroma. Fokal sind Tumornekrosen erkennbar.
Zusatzbefund
Makroskopisch: derber weisser Herd von 2.2cm Durchmesser im oberen äusseren Quadranten.
Klinik
Die Patientin hatte bei der Selbstuntersuchung einen harten Knoten in der rechten Mamma palpiert. Nach dem Nachweis von Karzinomzellen in der Feinnadelpunktion wurde eine Lumpektomie durchgeführt. Die intraoperative Schnellschnittuntersuchung ergab tumorfreie Resektionsränder.
Kommentar
Das histologische Grading (G1 bis G3) der Mammakarzinome wird bestimmt aufgrund des Prozentualen Anteils von drüsigen und soliden Tumorarealen, der zytologischen Atypien und der Anzahl Mitosen. Diesen drei Komponenten wird ein Wert zwischen 1-3 zugeordnet und zu einem Score aufaddiert (B.R.E. Score).
Score 3-5=G1
Score 6-7=G2
Score 8-9=G3
Der vorliegende Tumor hat einen hohen Anteil solider Tumorareale, zeigt ausgeprägte Zellatypien und zahlreiche Mitosen entsprechend einem wenig differenzierten Karzinom.
Bilder Typ
Histologie
Vergrösserung
25
Alter
54
Geschlecht
unbekannt
Datum
Ersteintrag: 06.10.2002