PathoPic – image database / PathoPic ID 4655 - Fibrinöse Pleuritis. Anthrakose.

de
Diagnose
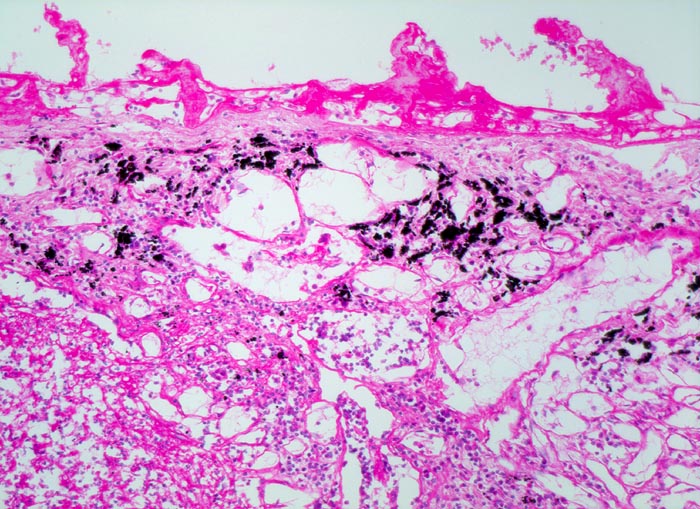
Fibrinöse Pleuritis. Anthrakose.
Diagnose Gruppe
Entzündung infektiös
Topographie
Lunge
Topographie Gruppe
Lunge, Mediastinum mit Thymus
Beschreibung
Die Pleura visceralis ist mit Fibrin belegt. Die angrenzenden Alveolen sind angefüllt mit fädigem Fibrin und neutrophilen Granulozyten. Interstitielles Bindegewebe mit schwarzem Anthrakosepigment.
Zusatzbefund
Der linke Lungenunterlappen ist vergrössert und verfestigt. Die Schnittfläche ist leicht körnelig und graugelb. Der Abstrichsaft ist gelblich trüb und schmierig. Die übrigen Lungenlappen sind leicht ödematös.
Klinik
Patient mit schwerer Demenz. Plötzlicher Krankheitsbeginn mit hohem Fieber (Continua), Leukozytose, Dämpfung über dem linken Unterlappen. Tod am 6. Tag der Erkrankung an Herzversagen.
Kommentar
Eine Lobärpneumonie tritt auf, wenn die Erreger die Alveolarräume so ausgedehnt und rasch befallen, daß sie erst vor anatomischen Grenzen (z.B. einem Lappenspalt) Halt machen.
Bilder Typ
Histologie
Vergrösserung
100
Alter
82
Geschlecht
männlich
Datum
Ersteintrag: 06.05.2002