PathoPic – image database / PathoPic ID 4654 - Lobärpneumonie

de
Diagnose
Lobärpneumonie
Diagnose Gruppe
Entzündung infektiös
Topographie
Lunge
Topographie Gruppe
Lunge, Mediastinum mit Thymus
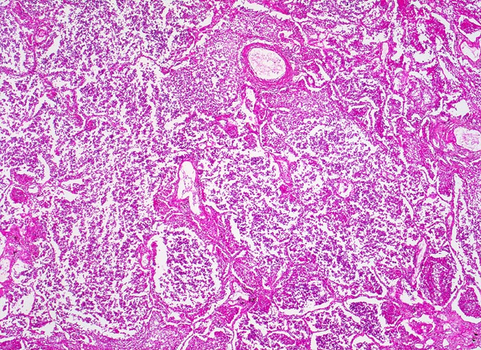
Beschreibung
Alle Alveolen sind gleichmässig und diffus befallen und im selben Stadium der Entzündung. Sie sind angefüllt mit fädigem Fibrin und neutrophilen Granulozyten.
Zusatzbefund
Der linke Lungenunterlappen ist vergrössert und verfestigt. Die Schnittfläche ist leicht körnelig und graugelb. Der Abstrichsaft ist gelblich trüb und schmierig. Die übrigen Lungenlappen sind leicht ödematös.
Klinik
Patient mit schwerer Demenz. Plötzlicher Krankheitsbeginn mit hohem Fieber (Continua), Leukozytose, Dämpfung über dem linken Unterlappen. Tod am 6. Tag der Erkrankung an Herzversagen.
Kommentar
Eine Lobärpneumonie tritt auf, wenn die Erreger die Alveolarräume so ausgedehnt und rasch befallen, daß sie erst vor anatomischen Grenzen (z.B. einem Lappenspalt) Halt machen.
Bilder Typ
Histologie
Vergrösserung
25
Alter
82
Geschlecht
männlich
Datum
Ersteintrag: 06.05.2002