PathoPic – image database / PathoPic ID 4625 - Normale Prostatadrüse

de
Diagnose
Normale Prostatadrüse
Diagnose Gruppe
Normalbefund
Topographie
Prostata
Topographie Gruppe
Genitalorgane, männlich
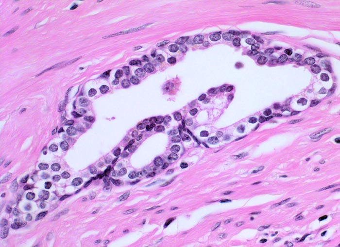
Beschreibung
Grosse tubuloalveoläre Drüse ausgekleidet durch ein kubisches Epithel mit einer deutlich erkennbaren Schicht von Basalzellen.
Kommentar
Die Abwesenheit der Basalzellschicht ist eines der verlässlichsten Kriterien zur Diagnose eines Adenokarzinoms. In verschiedenen benignen Läsionen ist die Basalzellschicht fragmentiert, fehlt aber praktisch nie vollständig. In Zweifelsfällen kann die Basalzellschicht immunhistochemisch nachgewiesen werden.
Bilder Typ
Histologie
Vergrösserung
400
Alter
60
Geschlecht
männlich
Datum
Ersteintrag: 06.05.2002
Update: 30.07.2010