PathoPic – image database / PathoPic ID 4624 - Adenokarzinom der Prostata

de
Diagnose
Adenokarzinom der Prostata
Diagnose Gruppe
maligner Tumor
Topographie
Prostata
Topographie Gruppe
Genitalorgane, männlich
Beschreibung
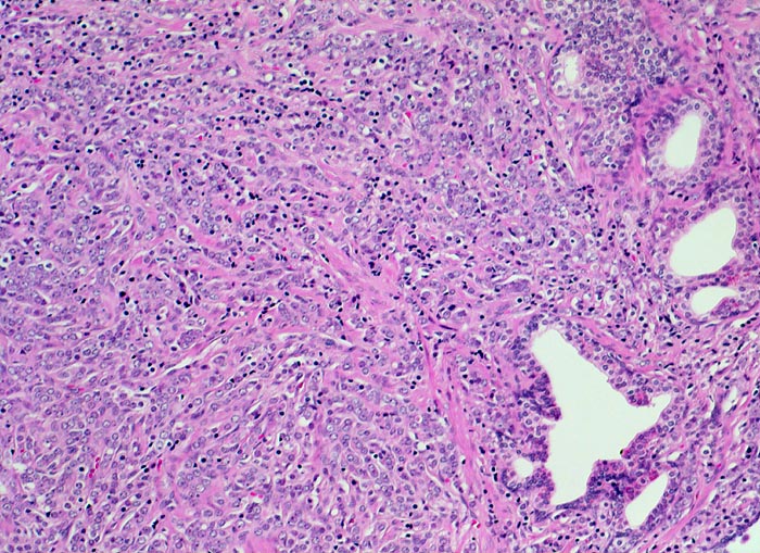
Neben einzelnen benignen grossen Prostatadrüsen findet sich ein diffuses Infiltrat schlecht geformter, sehr kleiner, dichtliegender maligner Drüsen und einzeln liegender Tumorzellen mit grossen Zellkernen und wenig Zytoplasma.
Zusatzbefund
Leicht vergrösserte Prostata. Makroskopisch sind die Karzinomherde als peripher gelegene unscharf begrenzte gelbliche Herde erkennbar. Diese sind palpatorisch derber als das übrige Parenchym.
Klinik
Aufgrund eines deutlich erhöhten PSA Wertes anlässlich einer Screeninguntersuchung wurde die Prostata biopsiert. In 4 von 6 Stanzbiopsien von beiden Seiten waren Karzinominfiltrate nachweisbar. Daraufhin erfolgte eine radikale Prostatektomie.
Kommentar
Schlecht geformte, miteinander fusionierte Karzinomdrüsen, die sich infiltrativ zwischen normalen Drüsen ausbreiten entsprechen einem Gleason Grad 4. Dissolut liegende Tumoreinzelzellen oder Tumorzellstränge, die keine drüsigen Strukturen erkennen lassen, entsprechen einem Gleason Grad 5 (überwiegendes Muster im vorliegenden Bildausschnitt).
Bilder Typ
Histologie
Vergrösserung
100
Alter
64
Geschlecht
männlich
Datum
Ersteintrag: 22.12.2002
Update: 30.07.2010