PathoPic – image database / PathoPic ID 4618 - Adenokarzinom der Prostata

de
Diagnose
Adenokarzinom der Prostata
Diagnose Gruppe
maligner Tumor
Topographie
Prostata
Topographie Gruppe
Genitalorgane, männlich
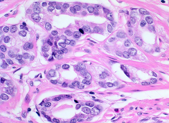
Beschreibung
Mittelgrosse, gut geformte Karzinomdrüsen ausgekleidet durch ein einreihiges kubisches Epithel ohne Basalzellschicht. Die einzelnen Drüsen sind voneinander durch wenig Stroma getrennt. Die Karzinomzellen haben deutlich vergrösserte hyperchromatische Kerne mit deutlich erkennbaren, aber nicht sehr grossen Nukleolen.
Zusatzbefund
Leicht vergrösserte Prostata. Makroskopisch sind die Karzinomherde als peripher gelegene unscharf begrenzte gelbliche Herde erkennbar. Diese sind palpatorisch derber als das übrige Parenchym.
Klinik
Aufgrund eines deutlich erhöhten PSA Wertes anlässlich einer Screeninguntersuchung wurde die Prostata biopsiert. In 4 von 6 Stanzbiopsien von beiden Seiten waren Karzinominfiltrate nachweisbar. Daraufhin erfolgte eine radikale Prostatektomie.
Bilder Typ
Histologie
Vergrösserung
400
Alter
64
Geschlecht
männlich
Datum
Ersteintrag: 22.12.2002
Update: 30.07.2010