Pathopic
HiPaKu
ZyPaKu
PathoBasic
PathoBasic Cytology
Quizzes
Projektinfos
PathoPic - Projekt- und Copyright-Info
About
Pathopic
HiPaKu
ZyPaKu
PathoBasic
PathoBasic Cytology
Quizzes
PathoPic – image database
/
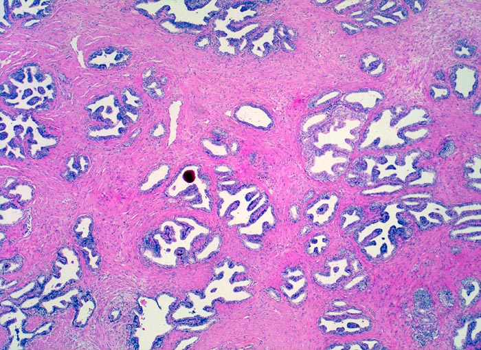
PathoPic ID 4617 - Normale Prostatadrüsen
de
Diagnose
Normale Prostatadrüsen
Diagnose Gruppe
Normalbefund
Topographie
Prostata
Topographie Gruppe
Genitalorgane, männlich
Beschreibung
Das normale Prostataparenchym besteht aus regelmässig angeordneten
Paketen grösserer Drüsen eingebettet in
glatte Muskulatur. Die Drüsen enthalten oft eingedicktes und
verkalktes Sekret.
Bilder Typ
Histologie
Vergrösserung
25
Alter
60
Geschlecht
männlich
Datum
Ersteintrag: 06.05.2002
Update: 30.07.2010
CPS
·
©
2024 Institut für Pathologie Basel
/
Dr. med. Katharina Glatz-Krieger
.
·
v2.1