PathoPic – image database / PathoPic ID 4616 - Adenokarzinom der Prostata

de
Diagnose
Adenokarzinom der Prostata
Diagnose Gruppe
maligner Tumor
Topographie
Prostata
Topographie Gruppe
Genitalorgane, männlich
Beschreibung
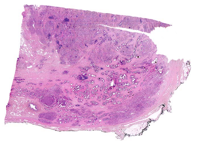
Multiple Karzinomherde infiltrieren das Prostatagewebe. Die normalen Drüsen sind deutlich grösser als die Karzinomdrüsen und enthalten in der Übersichtsvergrösserung erkennbare Lumina. Da die Karzinomdrüsen deutlich kleiner sind, erscheinen die Karzinomherde in der schwachen Vergrösserung als dunkle, unscharf begrenzte Flecken ohne erkennbare drüsige Strukturen.
Der Resektionsrand ist mit schwarzer Tusche markiert (schwarzer Streifen am Rand des Präparates).
Zusatzbefund
Leicht vergrösserte Prostata. Makroskopisch sind die Karzinomherde als peripher gelegene unscharf begrenzte gelbliche Herde erkennbar. Diese sind palpatorisch derber als das übrige Parenchym.
Klinik
Aufgrund eines deutlich erhöhten PSA Wertes anlässlich einer Screeninguntersuchung wurde die Prostata biopsiert. In 4 von 6 Stanzbiopsien von beiden Seiten waren Karzinominfiltrate nachweisbar. Daraufhin erfolgte eine radikale Prostatektomie.
Kommentar
Das Markieren des chirurgischen Resektionsrandes mit Tusche ermöglicht dem Pathologen festzustellen, ob der Tumor im Gesunden entfernt wurde. Die unvollständige Resektion kann einen fehlenden postoperativen Abfall des PSA auf Normalwerte erklären. Ein postoperativer Wiederanstieg des PSA zeigt bei einem unvollständig resezierten Tumor eher ein Lokalrezidiv an, beim vollständig resezierten Tumor eher eine Metastasierung.
Bilder Typ
Histologie
Vergrösserung
Scan
Alter
64
Geschlecht
männlich
Datum
Ersteintrag: 06.10.2002
Update: 30.07.2010