PathoPic – image database / PathoPic ID 4611 - ischämische Herzmuskelschädigung: tubuläre Degeneration

de
Diagnose
ischämische Herzmuskelschädigung: tubuläre Degeneration
Diagnose Gruppe
vaskulär / Durchblutungsstörung
Topographie
Herz links
Topographie Gruppe
Kardiovaskuläres System
Beschreibung
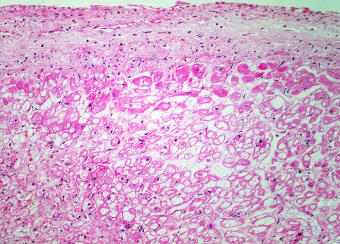
Luminaler Anteil der linken Herzkammer: Das unmittelbar subendokardial lokalisierte Myokard wird aus dem Herzblut per diffusionem mit zusätzlichem Sauerstoff versorgt. Bei einem Verschluss der Koronargefässe ist dieses Myokardareal von der Nekrose ausgespart und zeigt lediglich Zeichen der ischämischen Schädigung. Ischämisch geschädigte Muskelfasern mit erhaltenen Kernen und blasigem vakuolisiertem Sarkoplasma (= tubuläre Degeneration = Holundermarkzellen = massive Glykogenspeicherung).
Klinik
Diagnose eines Myokardinfarktes vor 4 Tagen.
Kommentar
Die hypoxisch bedingte vakuoläre (=tubuläre) Degeneration beruht auf einem Verlust der Myofibrillen und Glykogenspeicherung. Die zentral leeren Myokardzellen werden auch Holundermarkzellen genannt. Die veränderten Kardiomyozyten sind noch vital aber können sich nicht mehr kontrahieren. Das Auftreten der vakuolären Degeneration ist korreliert mit Herzinsuffizienz.
Bilder Typ
Histologie
Vergrösserung
100
Alter
75
Geschlecht
unbekannt
Datum
Ersteintrag: 21.10.2002
Update: 12.11.2007