PathoPic – image database / PathoPic ID 4608 - Rheumatoide Arthritis: Pannus

de
Diagnose
Rheumatoide Arthritis: Pannus
Diagnose Gruppe
Systemerkrankung/Immunpathologie
Topographie
Gelenk, Hand
Topographie Gruppe
Knochen, Knorpel, Gelenke
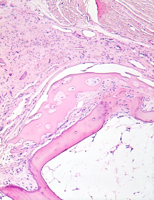
Beschreibung
Überrest des hyalinen Gelenkknorpels. Der angrenzende Gelenkspalt wird ausgefüllt von bindegewebigem Pannus mit geringem Entzündungsinfiltrat. Auch zwischen Knorpel und Knochen findet sich Pannusgewebe. Das Pannusgewebe enthält abgesprengte Knochen- und Knorpelfragmente.
Klinik
Langjährige rheumatoide Arthritis mit Deformation der Fingergelenke und Ulnardeviation der Finger.
Kommentar
Als bedeutendster Faktor für die Knorpel- und Knochenzerstörung wird das Pannusgewebe angesehen, das sich von den synovialen Insertionen auf die Gelenkoberfläche erstreckt und sich unter Destruktion des kortikalen Knochens in den subchondralen Markraum eindrigt und hier mit Osteoklasten den Knochen abbaut. Für die Zerstörung des Gelenkknorpels sind somit der Oberflächen- und der Markpannus verantwortlich. In floriden Phasen finden sich an der Pannus-Knorpelgrenze neutrophile Granulozyten und Makrophagen, deren lytische Enzyme den Knorpel abbauen. Im Bild ist eine ausgebrannte Phase mit weitgehender Zerstörung der Gelenkfläche und minimalem Entzündungsinfiltrat.
Bilder Typ
Histologie
Vergrösserung
100
Alter
72
Geschlecht
unbekannt
Datum
Ersteintrag: 06.10.2002
Update: 30.03.2009