PathoPic – image database / PathoPic ID 4600 - sekundäre Frakturheilung: Frakturspalt mit Kallus

de
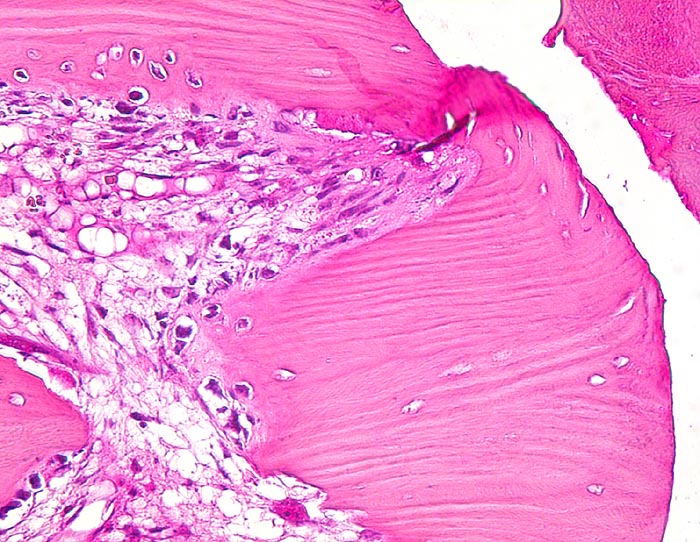
Diagnose
sekundäre Frakturheilung: Frakturspalt mit Kallus
Diagnose Gruppe
Trauma / mechanischer Schaden
Topographie
Knochen, Rippe
Topographie Gruppe
Knochen, Knorpel, Gelenke
Beschreibung
Frakturspalt mit Fibrin. Devitalisierter ortsständiger Knochen mit leeren Osteozytenhöhlen begrenzt den Frakturspalt. Osteoklasten bauen das devitalisierte Gewebe ab. Granulationsgewebe im Markraum.
Klinik
Konservativ behandelte Rippenfraktur nach Sturz vor einem Monat.
Bilder Typ
Histologie
Vergrösserung
160
Alter
82
Geschlecht
männlich
Datum
Ersteintrag: 04.07.2002