PathoPic – image database / PathoPic ID 4586 - Myokardinfarkt

de
Diagnose
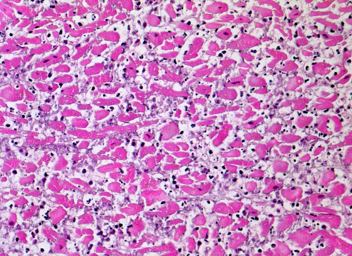
Myokardinfarkt
Diagnose Gruppe
vaskulär / Durchblutungsstörung
Topographie
Herz links
Topographie Gruppe
Kardiovaskuläres System
Beschreibung
Das Bild entspricht einem akuten Infarkt mit hypereosinophilen nekrotischen Muskelfasern und dichtem granulozytärem Entzündungsinfiltrat.
Klinik
Diagnose eines Myokardinfarktes vor 4 Tagen.
Bilder Typ
Histologie
Vergrösserung
200
Alter
75
Geschlecht
unbekannt
Datum
Ersteintrag: 21.10.2002