PathoPic – image database / PathoPic ID 4576 - chronische lymphozytäre Thyreoiditis Hashimoto

de
Diagnose
chronische lymphozytäre Thyreoiditis Hashimoto
Diagnose Gruppe
Systemerkrankung/Immunpathologie
Topographie
Schilddrüse
Topographie Gruppe
Endokrinium
Beschreibung
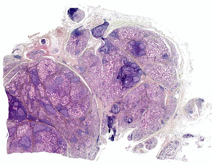
Bei kleiner Vergrösserung fällt eine angedeutet knotige Struktur des Gewebes auf. In diese knotige Grundstruktur eingebettet sind immer wieder dichte Infiltrate von Lymphozyten und Plasmazellen («blaue Herde») und eindeutige Lymphfollikel mit Keimzentren. Es besteht eine geringe Parenchymfibrose.
Klinik
Die Patientin sucht den Hausarzt auf wegen leichter Schmerzen am Hals rechts. Symptome einer Schilddrüsendysfunktion sind auch auf gezielte Anfrage hin nicht vorhanden. Die Schilddrüse ist deutlich vergrössert. Die laborchemischen Untersuchungen ergeben eine pathologisch erhöhte Konzentration der Peroxidase- und Thyreoglobulin-Antikörper. Die Serumwerte für T4 und T3 sind normal, der Wert für TSH ist erhöht. Die Indikation zur Thyreoidektomie wird wegen der deutlichen Struma gestellt.
Kommentar
Bei älteren Patienten mit einer manifesten Hypothyreose muss bis zum Beweis des Gegenteils das Vorliegen einer chronischen lymphozytären Thyreoiditis Hashimoto angenommen werden.
Bilder Typ
Histologie
Vergrösserung
Scan
Alter
46
Geschlecht
unbekannt
Datum
Ersteintrag: 06.05.2002