PathoPic – image database / PathoPic ID 4566 - Invasives Plattenepithelkarzinom der Zervix

de
Diagnose
Invasives Plattenepithelkarzinom der Zervix
Diagnose Gruppe
maligner Tumor
Topographie
Zervix
Topographie Gruppe
Genitalorgane, weiblich
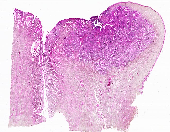
Beschreibung
Scharf begrenzter, von der vorderen Muttermundslippe im Bereich der Umwandlungszone ausgehender Tumor. Zervikalkanal.
Klinik
Im Portioabstrich anlässlich einer gynäkologischen Kontrolle Pap V, Hysterektomie
Kommentar
Die Umwandlungszone liegt dort, wo das metaplastische Plattenepithel der Ektozervix die endozervikalen Drüsen überwächst. An dieser Stelle finden sich am häufisten präneoplastische und neoplastische Veränderungen des Zervixepithels.
Bilder Typ
Histologie
Vergrösserung
Scan
Alter
41
Geschlecht
unbekannt
Datum
Ersteintrag: 06.05.2002
Update: 30.07.2010