PathoPic – image database / PathoPic ID 4563 - interstitielle Myokarditis

de
Diagnose
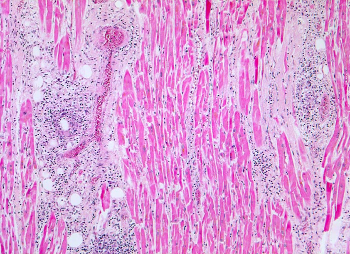
interstitielle Myokarditis
Diagnose Gruppe
Therapiefolgen
Topographie
Herz links
Topographie Gruppe
Kardiovaskuläres System
Beschreibung
Im Intersitium, besonders perivaskulär und zwischen den Gefässbündeln zahlreiche Herde von gemischten Entzündungsinfiltraten.
Klinik
Patientin plötzlich tot im Bett aufgefunden nach mehreren Osteosynthesen. Vorgängig Zeichen einer hyperergischen Reaktion mit Urticaria und Bluteosinophilie.
Bilder Typ
Histologie
Vergrösserung
50
Alter
77
Geschlecht
unbekannt
Datum
Ersteintrag: 13.07.2002