PathoPic – image database / PathoPic ID 4561 - Venenthrombose in Organisation

de
Diagnose
Venenthrombose in Organisation
Diagnose Gruppe
vaskulär / Durchblutungsstörung
Topographie
Vene Bein
Topographie Gruppe
Kardiovaskuläres System
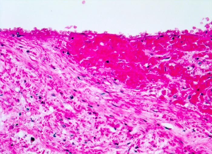
Beschreibung
Ausläufer einer älteren Thrombose. Das Fibrin der Thrombose ist bereits in die Venenwand inkorporiert. Der organisierte Thrombusanteil wird bedeckt von neugebildetem Endothel.
Zusatzbefund
Todesursache: Multiple ältere periphere und frische parazentrale Lungenembolien.
Klinik
Metastasierendes Tumorleiden. Der Patient wird tot im Bett aufgefunden.
Bilder Typ
Histologie
Vergrösserung
320
Alter
74
Geschlecht
männlich
Datum
Ersteintrag: 15.04.2002