PathoPic – image database / PathoPic ID 4560 - Korallenstockthrombus (Abscheidungsthrombus)

de
Diagnose
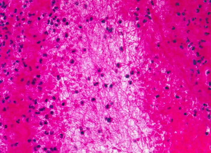
Korallenstockthrombus (Abscheidungsthrombus)
Diagnose Gruppe
vaskulär / Durchblutungsstörung
Topographie
Vene Bein
Topographie Gruppe
Kardiovaskuläres System
Beschreibung
Abscheidungsthrombus bestehend aus abwechselnden Schichten von zerfallenen Thrombozyten mit Fibrin und fädigem Fibrin, in dem sich neutrophile Granulozyten und Erythrozyten verfangen haben.
Zusatzbefund
Todesursache: Multiple ältere periphere und frische parazentrale Lungenembolien.
Klinik
Metastasierendes Tumorleiden. Der Patient wird tot im Bett aufgefunden.
Kommentar
Makroskopisch sind die verschiedenen Schichten als sogenannte Zahn'sche Linien identifizierbar: hellere Schichten von Fibrin mit Thrombozyten und dunklere Schichten mit Fibrin, Erythrozyten und Granulozyten.
Bilder Typ
Histologie
Vergrösserung
320
Alter
74
Geschlecht
männlich
Datum
Ersteintrag: 15.04.2002
Update: 04.10.2007