PathoPic – image database / PathoPic ID 4558 - Venenthrombose in Organisation

de
Diagnose
Venenthrombose in Organisation
Diagnose Gruppe
vaskulär / Durchblutungsstörung
Topographie
Vene Bein
Topographie Gruppe
Kardiovaskuläres System
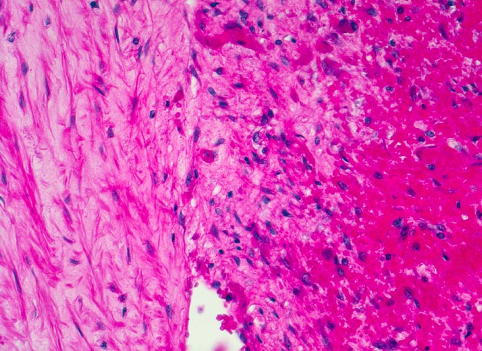
Beschreibung
Links im Bild die Intima der Vene. Rechts im Bild organisierter Thrombusanteil bestehend aus fibroblastenreichem Granulationsgewebe.
Zusatzbefund
Todesursache: Multiple ältere periphere und frische parazentrale Lungenembolien.
Klinik
Metastasierendes Tumorleiden. Der Patient wird tot im Bett aufgefunden.
Bilder Typ
Histologie
Vergrösserung
200
Alter
74
Geschlecht
männlich
Datum
Ersteintrag: 15.04.2002