PathoPic – image database / PathoPic ID 4554 - Koronarsklerose mit Thrombose: Intima

de
Diagnose
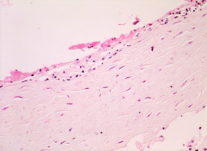
Koronarsklerose mit Thrombose: Intima
Diagnose Gruppe
vaskulär / Durchblutungsstörung
Topographie
Arteria coronaris
Topographie Gruppe
Kardiovaskuläres System
Beschreibung
Lumennah Intima zellreicher: Hier zahlreiche Zellen mit spindelförmigen Kernen ( Myofibroblasten). Dem Endothel ist wenig Fibrin aufgelagert. Unmittelbar subendothelial kleine Gruppen von Schaumzellen und Entzündungszellen.
Klinik
Subakuter transmuraler Myokardinfarkt. In der Anamnese Nikotinabusus und schlecht eingestellte arterielle Hypertonie.
Bilder Typ
Histologie
Vergrösserung
200
Alter
72
Geschlecht
unbekannt
Datum
Ersteintrag: 15.04.2002