PathoPic – image database / PathoPic ID 4551 - Koronarsklerose mit Thrombose

de
Diagnose
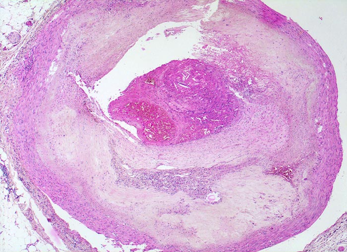
Koronarsklerose mit Thrombose
Diagnose Gruppe
vaskulär / Durchblutungsstörung
Topographie
Arteria coronaris
Topographie Gruppe
Kardiovaskuläres System
Beschreibung
Konzentrische Atherosklerose der Koronararterie. Massive Sklerose und Verbreiterung der Intima. Neovaskularisationen in der Intima. Atrophie der Media. Partiell organisierte Thrombose über einem rupturierten Atheromherd. Der Thrombus enthält Cholesterinkristalle aus dem rupturierten Atherom.
Klinik
Subakuter transmuraler Myokardinfarkt. In der Anamnese Nikotinabusus und schlecht eingestellte arterielle Hypertonie.
Kommentar
Myokardinfarkte treten oft als Folge eines thrombotischen Verschlusses nach Plaqueruptur eines nur mässig stenosierten Gefässes auf (angiographisch 35-65% Stenose). Kleine lipidreiche Atherome rupturieren häufiger als stark fibrosierte Plaques mit schwerer Stenose. Schwere Stenosen führen trotz Tendenz zum thrombotischen Verschluss seltener zu einem Infarkt wegen gut ausgebildeter Kollateralkreisläufe.
Bilder Typ
Histologie
Vergrösserung
25
Alter
72
Geschlecht
unbekannt
Datum
Ersteintrag: 15.04.2002
Update: 23.08.2004