PathoPic – image database / PathoPic ID 4544 - Parietalthrombose über Myokardinfarkt

de
Diagnose
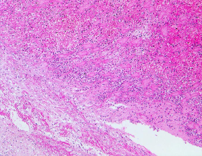
Parietalthrombose über Myokardinfarkt
Diagnose Gruppe
vaskulär / Durchblutungsstörung
Topographie
Herz links
Topographie Gruppe
Kardiovaskuläres System
Beschreibung
Über dem Infarkt, dem Endokard aufgelagerter geschichteter Korallenstockthrombus bestehend aus Fibrin, Granulozyten und Erythrozyten.
Klinik
Diagnose eines Myokardinfarktes vor 4 Tagen.
Bilder Typ
Histologie
Vergrösserung
50
Alter
75
Geschlecht
unbekannt
Datum
Ersteintrag: 21.10.2002