PathoPic – image database / PathoPic ID 4542 - Koagulationsnekrose des Myokards

de
Diagnose
Koagulationsnekrose des Myokards
Diagnose Gruppe
vaskulär / Durchblutungsstörung
Topographie
Herz links
Topographie Gruppe
Kardiovaskuläres System
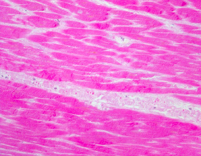
Beschreibung
Die nekrotischen Myokardfasern aus dem Infarktzentrum sind hypereosinophil und zeigen Kontraktionsbänder. Kerne sind nicht erkennbar. Keine neutrophilen Granulozyten.
Klinik
Diagnose eines Myokardinfarktes vor 2 Tagen.
Kommentar
Die Einwanderung von neutrophilen Granulozyten und die Organisation der Nekrosezone durch Granulationsgewebe schreitet von aussen nach innen fort. Im Zentrum des Infarktes sind deshalb auch längere Zeit nach dem Infarktereignis noch keine Zeichen der Organisation erkennbar.
Bilder Typ
Histologie
Vergrösserung
100
Alter
75
Geschlecht
unbekannt
Datum
Ersteintrag: 21.10.2002