PathoPic – image database / PathoPic ID 4527 - Verruca vulgaris

de
Diagnose
Verruca vulgaris
Diagnose Gruppe
Entzündung infektiös
Topographie
Haut, Hand palmar, Finger
Topographie Gruppe
Haut
Beschreibung
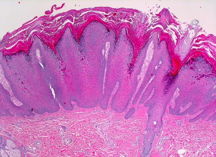
Bei schwacher Vergrösserung sind Hyperkeratose (verdickte Hornschicht), Akanthose (Verdickung des Stratum spinosum) und Papillomatose (Ausziehung der Reteleisten) der Epidermis erkennbar. Die Reteleisten sind elongiert und gegen innen gebogen und scheinen dadurch radiär auf das Zentrum der Warze ausgerichtet. Die Viren befinden sich vor allem im Bereich der Hypergranulosezonen zwischen zwei Papillen.
Klinik
Umschriebene derbe hautfarbene Papel am Handrücken.
Bilder Typ
Histologie
Vergrösserung
25
Alter
14
Geschlecht
männlich
Datum
Ersteintrag: 15.04.2002
Update: 06.05.2009