PathoPic – image database / PathoPic ID 4519 - akute Pankreatitis

de
Diagnose
akute Pankreatitis
Diagnose Gruppe
Entzündung / Reparatur
Topographie
Pankreas
Topographie Gruppe
Leber, Gallenwege, Pankreas
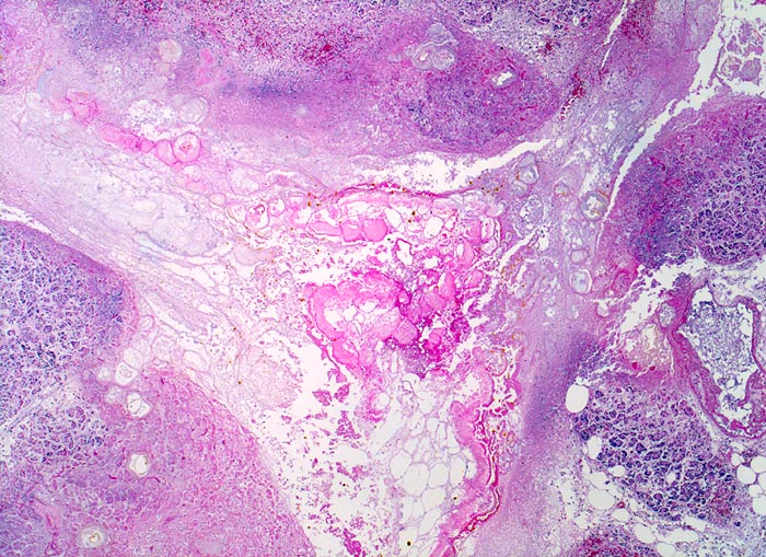
Beschreibung
In der Bildmitte lytische Nekrose des Fettgewebes. Die Nekrose greift auf das Parenchym über. Stellenweise ist ein hämorrhagischer Randsaum erkennbar. Es sind nur noch kleine Inseln von vitalem Parenchym erkennbar. Die Grenzen zwischen vitalem und nekrotischem Gewebe sind unscharf.
Zusatzbefund
-
Klinik
Bekannter Ethylabusus. Nach einem Alkoholexzess kam der Patient wegen heftigster epigastrischer, in den Rücken ausstrahlender Abdominalschmerzen und orthostatischer Hypotonie auf die Notfallstation. 60 Stunden nach Spitaleintritt entwickelt der Patient ein Multiorganversagen und verstirbt.
Bilder Typ
Histologie
Vergrösserung
25
Alter
30
Geschlecht
männlich
Datum
Ersteintrag: 15.04.2002