PathoPic – image database / PathoPic ID 4517 - Ewing-Sarkom

de
Diagnose
Ewing-Sarkom
Diagnose Gruppe
maligner Tumor
Topographie
Weichteile Bein
Topographie Gruppe
Weichteile
Beschreibung
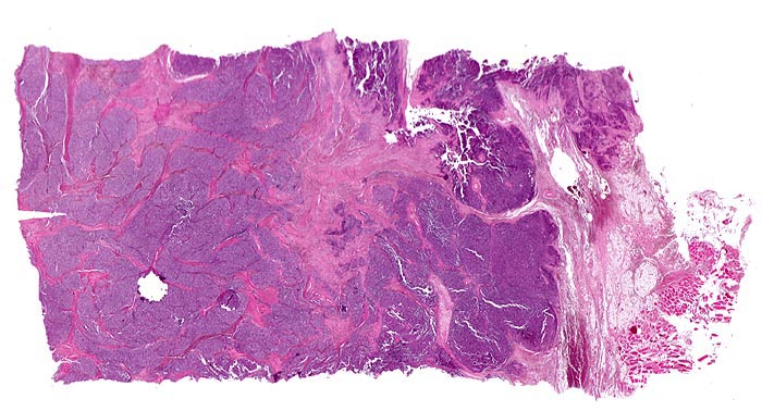
Lobulierter Tumor bestehend aus zelldichten soliden Tumorplatten umgeben von Bindegewebssepten. Die Begrenzung ist scharf. In unmittelbarer Nachbarschaft des Tumors sind Fettgewebe und Skelettmuskulatur erkennbar.
Zusatzbefund
Femuramputat mit festem grauweissem intraossärem feucht-glänzendem Tumorgewebe. Die extraossäre Weichteilkomponente ist weicher und brüchiger. Der Gewebsschnitt stammt aus der extraossären Weichteilkomponente.
Klinik
Zunehmende Schmerzen im rechten Oberschenkel mit Weichteilschwellung- und Erwärmung seit mehreren Monaten. Keine Traumaanamnese. Klinisch wird zunächst eine Osteomyelitis vermutet. Aufgrund der Röntgenaufnahme, welche neben einer Weichteilmasse eine schlecht begrenzte, lytische Läsion in der Diaphyse des Femurs mit zwiebelschalenförmiger Periostreaktion zeigt, wird ein maligner Knochentumor diagnostiziert.
Bilder Typ
Histologie
Vergrösserung
Scan
Alter
12
Geschlecht
männlich
Datum
Ersteintrag: 08.06.2002