PathoPic – image database / PathoPic ID 4516 - Ewing-Sarkom

de
Diagnose
Ewing-Sarkom
Diagnose Gruppe
maligner Tumor
Topographie
Weichteile Bein
Topographie Gruppe
Weichteile
Beschreibung
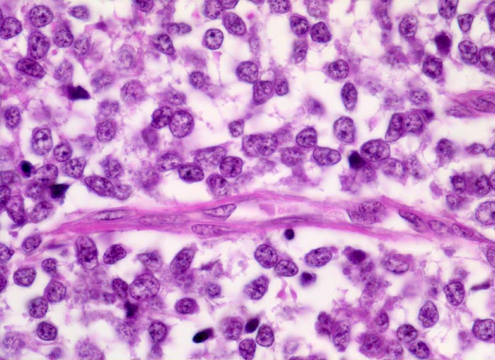
Uniforme Zellen mit wenig schlecht abgrenzbarem Zytoplasma und unscharfen Zellgrenzen. Die Kerne sind oval bis rund und enthalten leicht vergröbertes Chromatin und feine Nukleolen. Kleines Blutgefäss.
Klinik
Zunehmende Schmerzen im rechten Oberschenkel mit Weichteilschwellung- und Erwärmung seit mehreren Monaten. Keine Traumaanamnese. Klinisch wird zunächst eine Osteomyelitis vermutet. Aufgrund der Röntgenaufnahme, welche neben einer Weichteilmasse eine schlecht begrenzte, lytische Läsion in der Diaphyse des Femurs mit zwiebelschalenförmiger Periostreaktion zeigt, wird ein maligner Knochentumor diagnostiziert.
Kommentar
Typischerweise enthalten die Tumorzellen des Ewing Sarkoms intrazytoplasmatisches Glykogen, welches mit der PAS Färbung nachgewiesen werden kann.
Bilder Typ
Histologie
Vergrösserung
630
Alter
12
Geschlecht
männlich
Datum
Ersteintrag: 15.04.2002