PathoPic – image database / PathoPic ID 4514 - Ewing-Sarkom

de
Diagnose
Ewing-Sarkom
Diagnose Gruppe
maligner Tumor
Topographie
Weichteile Bein
Topographie Gruppe
Weichteile
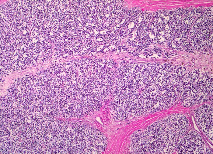
Beschreibung
Monotoner Rasen kleiner runder blauer Tumorzellen durchzogen von bindegewebigen Septen.
Klinik
Zunehmende Schmerzen im rechten Oberschenkel mit Weichteilschwellung- und Erwärmung seit mehreren Monaten. Keine Traumaanamnese. Klinisch wird zunächst eine Osteomyelitis vermutet.
Bilder Typ
Histologie
Vergrösserung
50
Alter
12
Geschlecht
männlich
Datum
Ersteintrag: 15.04.2002