Pathopic
HiPaKu
ZyPaKu
PathoBasic
PathoBasic Cytology
Quizzes
Projektinfos
PathoPic - Projekt- und Copyright-Info
About
Pathopic
HiPaKu
ZyPaKu
PathoBasic
PathoBasic Cytology
Quizzes
PathoPic – image database
/
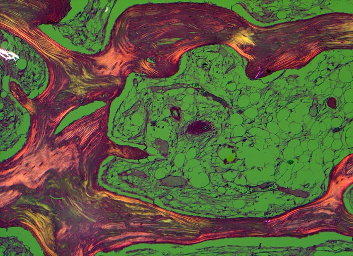
PathoPic ID 4512 - Normale Spongiosa
de
Diagnose
Normale Spongiosa
Diagnose Gruppe
Normalbefund
Topographie
Knochen, Tibia
Topographie Gruppe
Knochen, Knorpel, Gelenke
Beschreibung
In der Doppelbrechung werden die regelmässig angeordneten Lamellen dieses Spongiosabälkchens besonders gut sichtbar.
Bilder Typ
Histologie
Vergrösserung
50
Alter
36
Geschlecht
männlich
Datum
Ersteintrag: 15.04.2002
CPS
·
©
2024 Institut für Pathologie Basel
/
Dr. med. Katharina Glatz-Krieger
.
·
v2.1