PathoPic – image database / PathoPic ID 4507 - Morbus Paget des Knochens

de
Diagnose
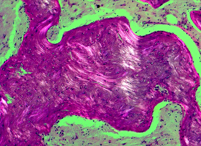
Morbus Paget des Knochens
Diagnose Gruppe
Entzündung infektiös
Topographie
Knochen, Tibia
Topographie Gruppe
Knochen, Knorpel, Gelenke
Beschreibung
In der Doppelbrechung wird die unregelmässige mosaikartige Struktur der Spongiosabälkchen besonders deutlich.
Klinik
Die Patientin hatte wiederholt über Knieschmerzen geklagt. Autoptisch zeigte das Kniegelenk eine leichte Arthrose. Aus der auffallend verdickten Tibia wurde eine Gewebsprobe zur Untersuchung entnommen.
Bilder Typ
Histologie
Vergrösserung
100
Alter
87
Geschlecht
unbekannt
Datum
Ersteintrag: 09.06.2002