PathoPic – image database / PathoPic ID 4505 - Morbus Paget des Knochens

de
Diagnose
Morbus Paget des Knochens
Diagnose Gruppe
Entzündung infektiös
Topographie
Knochen, Tibia
Topographie Gruppe
Knochen, Knorpel, Gelenke
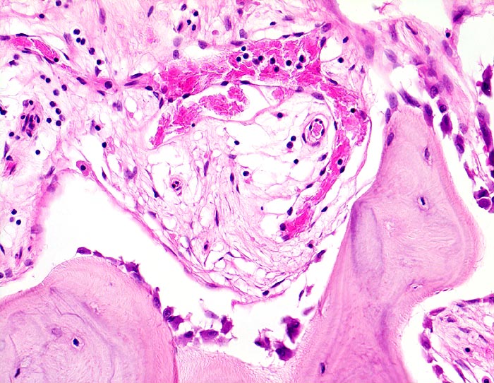
Beschreibung
Zone mit gesteigertem Knochenanbau. Das Spongiosabälkchen ist von einer Osteoblastentapete bedeckt, welche neuen Knochen anbauen. Das Mark zeigt eine lockere Fibrose mit vermehrten kapillären Gefässen.
Klinik
Die Patientin hatte wiederholt über Knieschmerzen geklagt. Autoptisch zeigte das Kniegelenk eine leichte Arthrose. Aus der auffallend verdickten Tibia wurde eine Gewebsprobe zur Untersuchung entnommen.
Bilder Typ
Histologie
Vergrösserung
200
Alter
87
Geschlecht
unbekannt
Datum
Ersteintrag: 06.10.2002