PathoPic – image database / PathoPic ID 4504 - Morbus Paget des Knochens: Osteoklasten

de
Diagnose
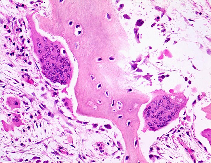
Morbus Paget des Knochens: Osteoklasten
Diagnose Gruppe
Entzündung infektiös
Topographie
Knochen, Tibia
Topographie Gruppe
Knochen, Knorpel, Gelenke
Beschreibung
Pathologisch gesteigerter Knochenumbau: Riesenosteoklasten mit sehr zahlreichen Kernen bauen das Knochengewebe ab. Gleichzeitig finden sich auch vermehrte kubische aktive Osteoblasten, welche Knochen anbauen. Das Mark zeigt eine lockere Fibrose.
Klinik
Die Patientin hatte wiederholt über Knieschmerzen geklagt. Autoptisch zeigte das Kniegelenk eine leichte Arthrose. Aus der auffallend verdickten Tibia wurde eine Gewebsprobe zur Untersuchung entnommen.
Bilder Typ
Histologie
Vergrösserung
200
Alter
87
Geschlecht
unbekannt
Datum
Ersteintrag: 09.06.2002